
AI Agents
Deploy clinical expertise where there is none

AI Agents
Deploy clinical expertise where there is none

Why it Matters
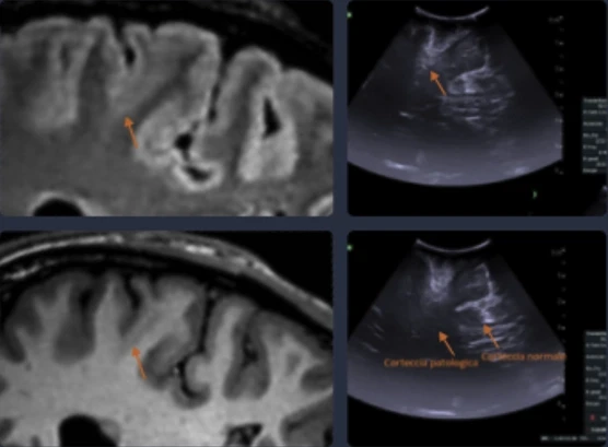
A 12-year-old boy in Florida endured daily seizures and repeated misdiagnoses despite numerous tests. Doctors missed a rare condition of Focal Cortical Dysplasia (FCD).
Advanced AI analysis of his MRI could have revealed the cause sooner, transforming life for him and his family.

Why it Matters
A 12-year-old boy in Florida endured daily seizures and repeated misdiagnoses despite numerous tests. Doctors missed a rare condition of Focal Cortical Dysplasia (FCD).
Advanced AI analysis of his MRI could have revealed the cause sooner, transforming life for him and his family.

Collaboration Without Compromising Data
Collaboration Without Compromising Data
Training real-time, privacy-preserving AI agents
Training real-time, privacy-preserving AI agents

Centralized AI won't work
Centralized AI architectures that work well in consumer AI cannot meet the needs of healthcare and life sciences. The data is much larger, security demands are higher, and privacy requirements are far stricter.

Centralized AI won't work
Centralized AI architectures that work well in consumer AI cannot meet the needs of healthcare and life sciences. The data is much larger, security demands are higher, and privacy requirements are far stricter.

Move AI to the Data
We are completing the world's first distributed, global laboratory focused on developing AI agents in cardiology, radiology, orthopedics, oncology, and emergency medicine, with 32 sites, 3,000 servers and over 2,000 TB of data annually

Move AI to the Data
We are completing the world's first distributed, global laboratory focused on developing AI agents in cardiology, radiology, orthopedics, oncology, and emergency medicine, with 32 sites, 3,000 servers and over 2,000 TB of data annually
This approach will harness the knowledge of all the best pediatric clinicians in the world, building AI imaging agents in:
This approach will harness the knowledge of all the best pediatric clinicians in the world, building AI imaging agents in:
Cardiology
Cardiology
Orthopedics
Orthopedics
Radiology
Radiology
Oncology
Oncology
Neonatology
Neonatology
Emergency Medicine
Emergency Medicine
Disease-Precise AI Agents
Disease-Precise AI Agents
Imagine Dr. House in every clinic and hospital in the world
A prominent research, surveying 500 oncologists, urologists and APPs, found that innovation in Healthcare suffers from:
Imagine Dr. House in every clinic and hospital in the world
A prominent research, surveying 500 oncologists, urologists and APPs, found that innovation in Healthcare suffers from:
~75%
Overwhelming Pace
New treatment development is overwhelming for nearly 3 out of 4 interviewees
~75%
Overwhelming Pace
New treatment development is overwhelming for nearly 3 out of 4 interviewees
73%
No Implementation
Believes that there's a wide gap between new and cutting-edge treatments and their implementation
73%
No Implementation
Believes that there's a wide gap between new and cutting-edge treatments and their implementation
7 of 10
Guidelines Difficulties
Struggle to navigate complexities of cancer treatment guidelines
7 of 10
Guidelines Difficulties
Struggle to navigate complexities of cancer treatment guidelines

Support our capital campaign
Your support fuels a mission bigger than ourselves

Support our capital campaign
Your support fuels a mission bigger than ourselves


Support our capital campaign
Your support fuels a mission bigger than ourselves
